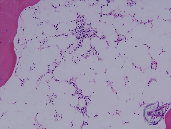
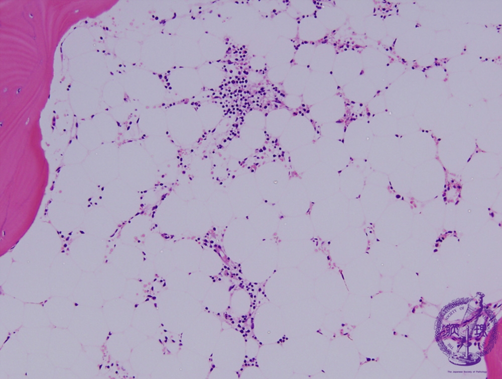
Microscopic image (H&E low power view): The Bone marrow is markedly hypocellular. It is mainly composed of adipose tissue. Very few nests of marrow cells are present.

Click the image to see the enlarged image.

  • There is no guidance by arrows.