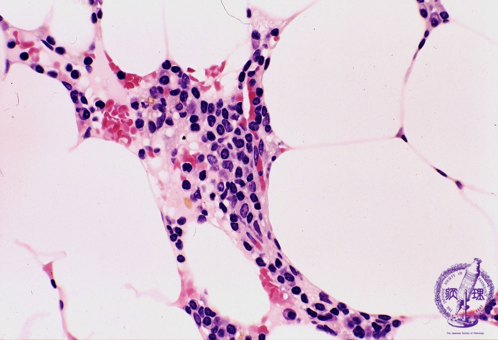
Microscopic image (H&E high power view): The marrow is markedly hypocellular with very few nests of cells. Most of the observed cells are lymphocytes with a small number of plasma cells and granulocytes.

Click the image to see the enlarged image.

  • There is no guidance by arrows.