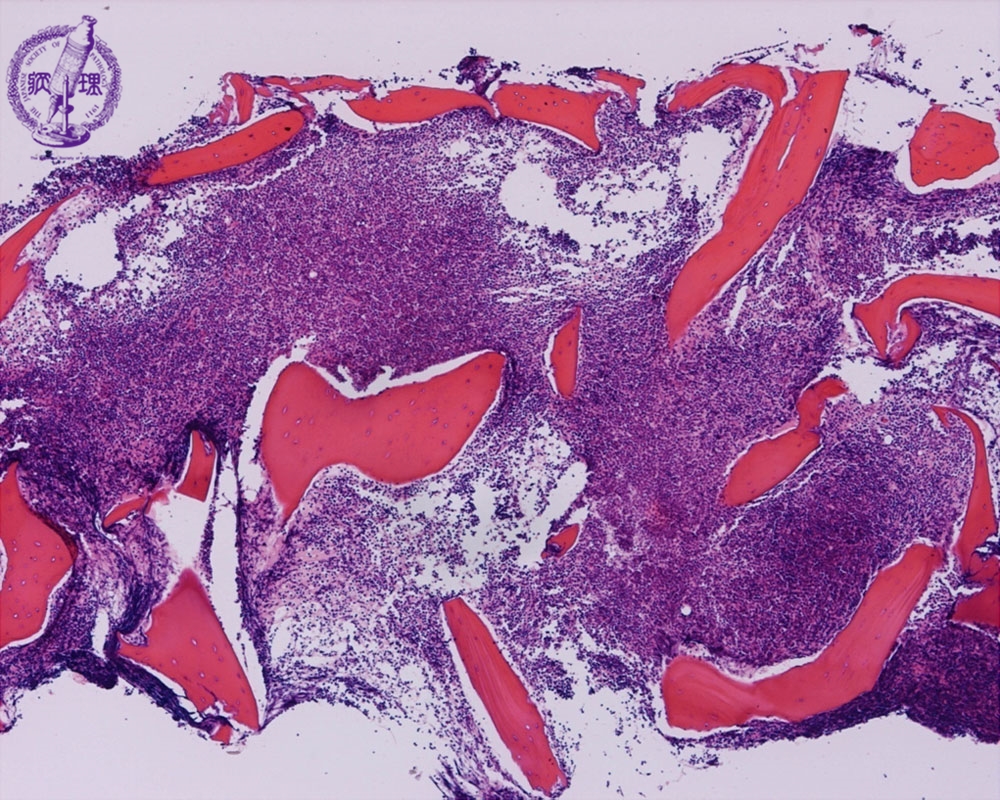
Microscopic image (H&E low power view): The marrow is hypercellular with a proliferation of atypical lymphoid cells. A N/C ratio is high in these cells. This is the picture of ALL (L1 by FAB classification).

Click the image to see the enlarged image.

  • There is no guidance by arrows.