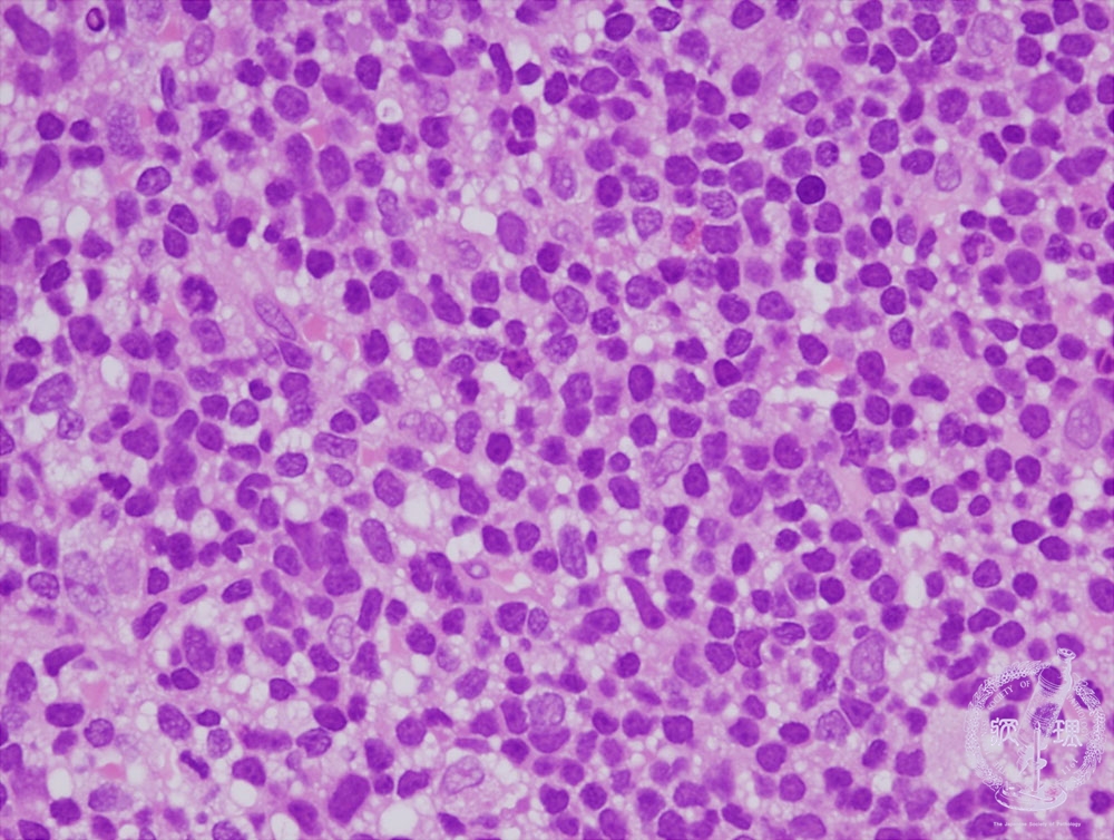
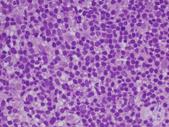
Microscopic image (H&E high power view): The marrow is hypercellular and packed with a high N/C ratio, atypical lymphoid cells. This is the picture of ALL (L1 by FAB classification).

Click the image to see the enlarged image.

  • There is no guidance by arrows.