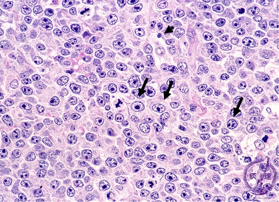
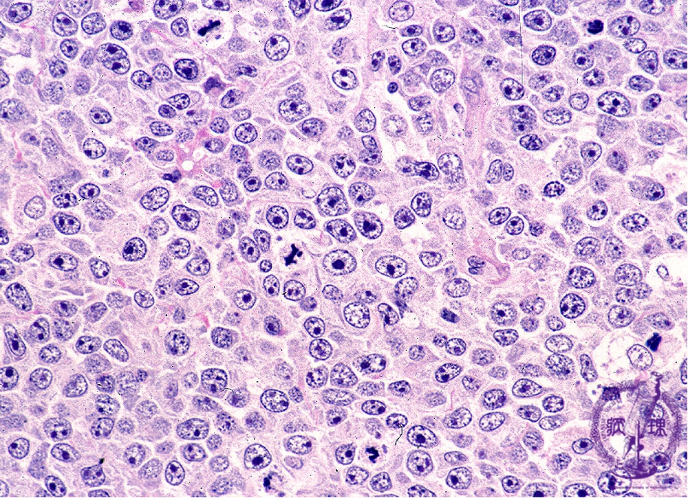
- 2.Lymph node
- ★(6)Diffuse large B-cell lymphoma
Microscopic image (H&E high power view): The tumor cell nuclei are more than double (arrows) in size than those of mature lymphocytes (arrow head) and contain multiple nucleoli. Cytoplasm is relatively scant and mitotic figures are numerous.
Click the image to see the enlarged image.













