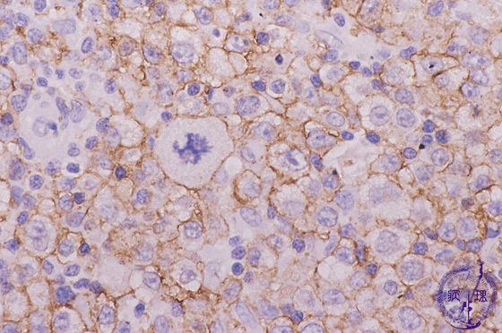
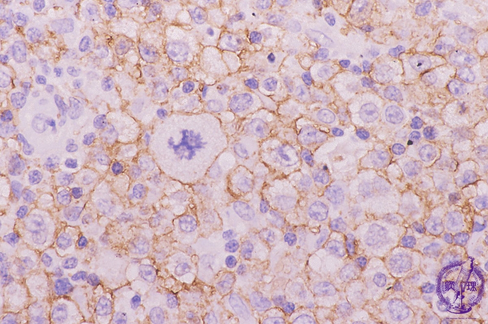
Microscopic image (CD20 immunostaining): CD20 antigen is expressed on lymphoma cell membranes, indicating B-cell lineage. Rhituximab, a drug which targets CD20, is currently used to treat diffuse large B-cell lymphoma.

Click the image to see the enlarged image.

  • There is no guidance by arrows.