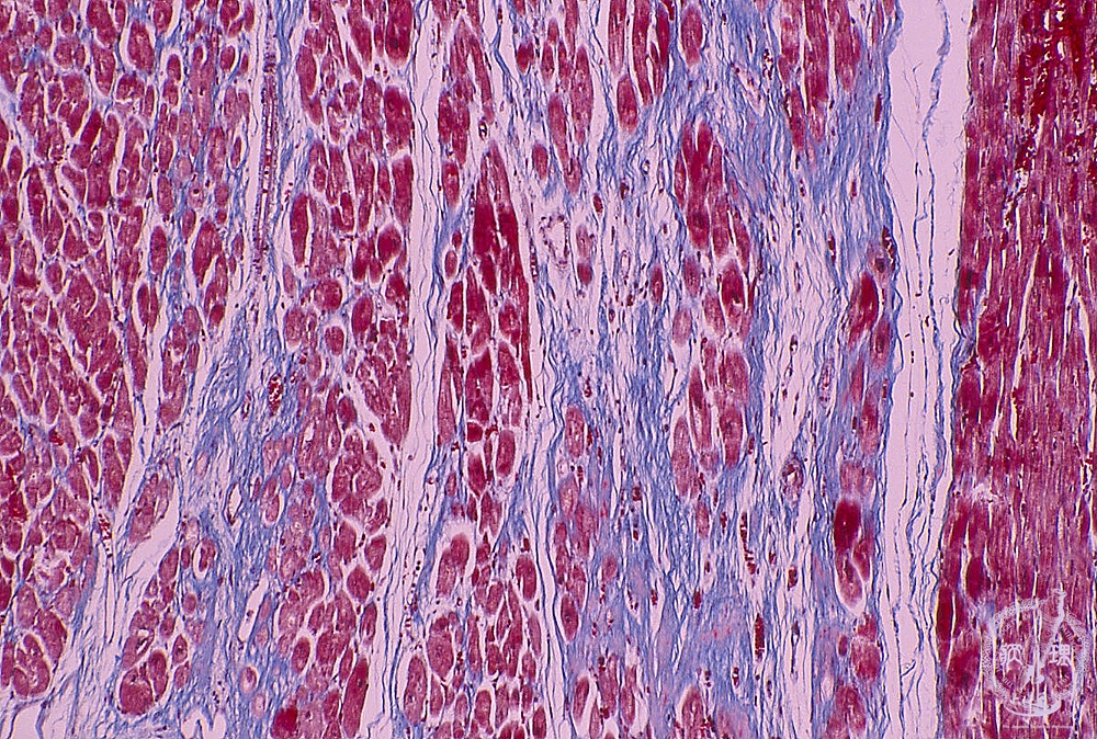
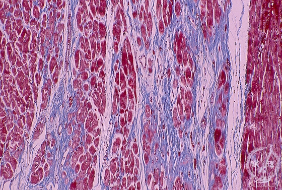
Microscopic image (Masson trichrome stain, low power view): Interstitial fibrosis and conspicuous cytological variability amongst myocytes.

Click the image to see the enlarged image.

  • There is no guidance by arrows.