- 3.Cardiovascular system
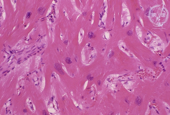
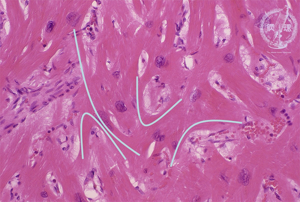
- (4)Cardiomyopathy(hypertrophic)
Microscopic image (HE, high power view): Microscopically, hypertrophic cardiomyopathy shows marked myofiber disarray within the ventricular septum.
Click the image to see the enlarged image.
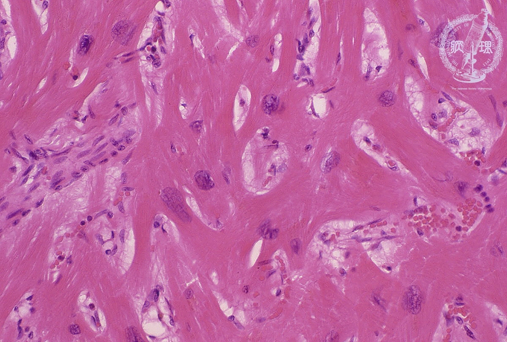
Microscopic image (HE, high power view): Microscopically, hypertrophic cardiomyopathy shows marked myofiber disarray within the ventricular septum.
Click the image to see the enlarged image.