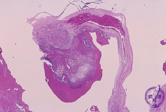
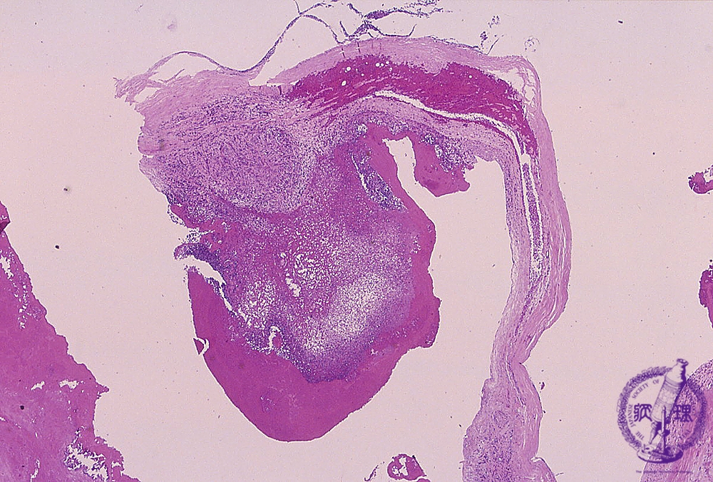
- 3.Cardiovascular system
- (6)Infective endocarditis
Microscopic image (HE, low power view): Infective endocarditis of the mitral valve. Bacterial colonies which contain infiltrating neutrophils form vegetations with subsequent valvular destruction.
Click the image to see the enlarged image.













