- 3.Cardiovascular system
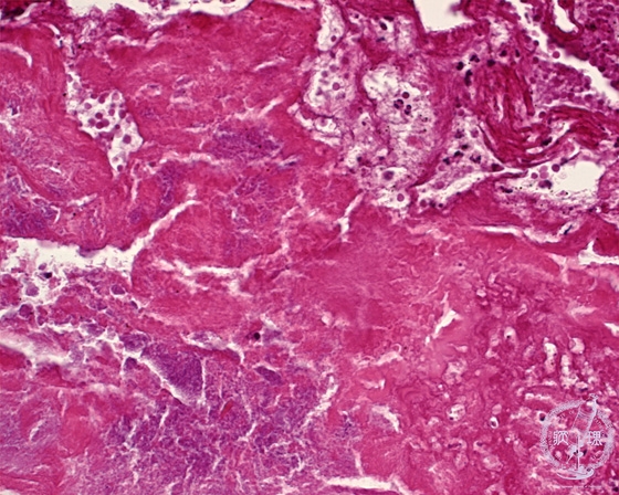
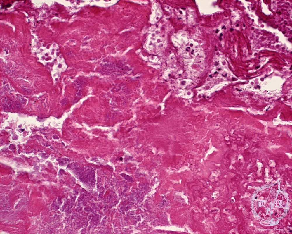
- (6)Infective endocarditis
Microscopic image (HE, high power view): Vegetation due to infective endocarditis (mitral valve). Inflammatory exudate containing neutrophils (within the circle) and basophilic bacterial aggregates are observed.
Click the image to see the enlarged image.













