- 3.Cardiovascular system
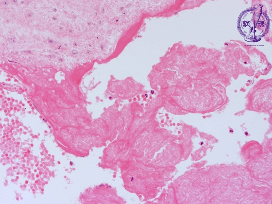
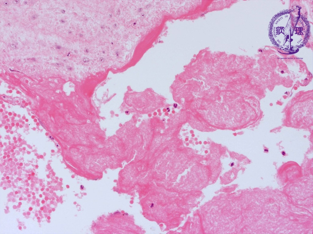
- (7)Noninfective endocarditis (Nonbacterial thrombotic endocarditis; NBTE)
Microscopic image (HE, intermediate power view): Layered fibrin thrombi adherent to the valve surface. Valve remains structurally intact (within the circle). A neutrophilic infiltrate is essentially absent.
Please compare above picture with infectious endocarditis.
Click the image to see the enlarged image.













