- 3.Cardiovascular system
- (14)Giant cell arteritis
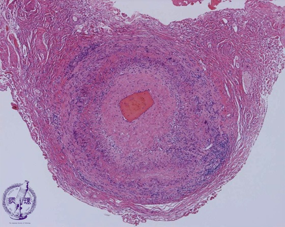
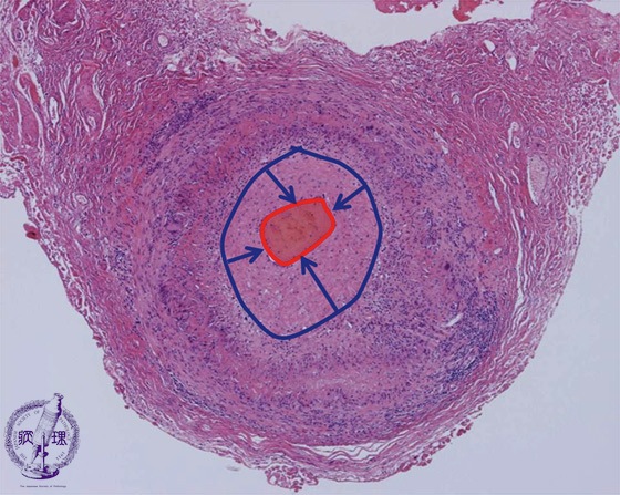
Microscopic view (HE, low power view): there is intimal hyperplasia with luminal narrowing.
Click the image to see the enlarged image.
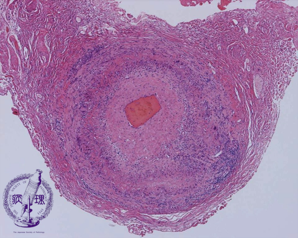
Microscopic view (HE, low power view): there is intimal hyperplasia with luminal narrowing.
Click the image to see the enlarged image.