- 3.Cardiovascular system
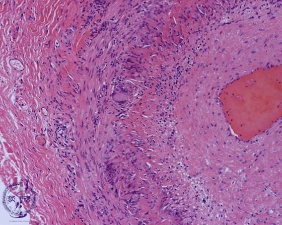
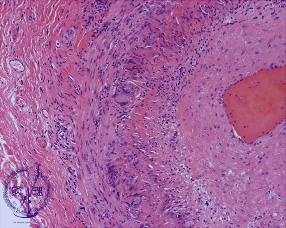
- (14)Giant cell arteritis
Microscopic image (HE, intermediate power view): Infiltration of foreign body type multinucleated giant cells with destruction of the medial elastic laminae is observed.
Click the image to see the enlarged image.












