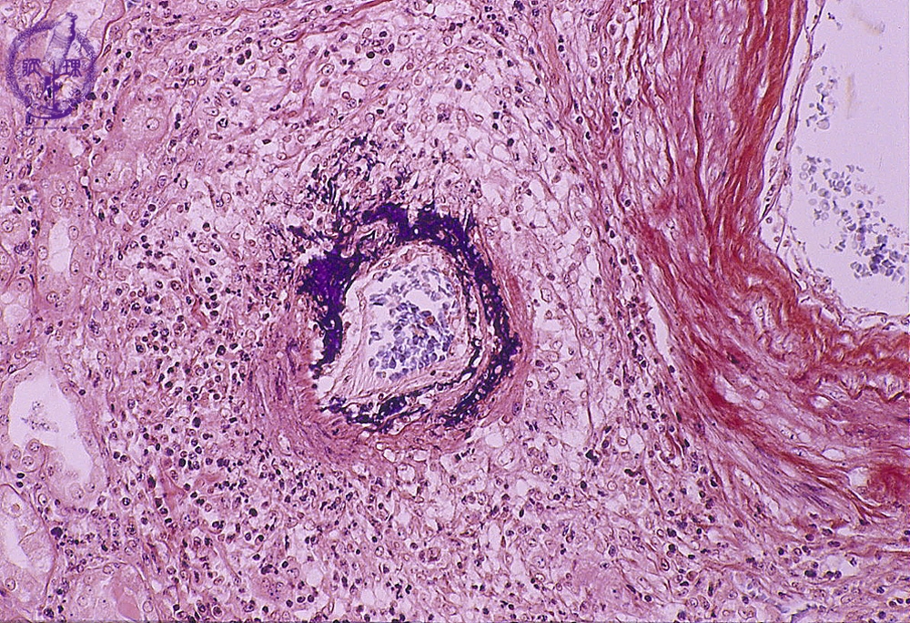
Microscopic image (PTAH stain, high power view): Polyarteritis nodosa involving the renal artery is typified(?) by a heavy inflammatory cell infiltrate and fibrinoid necrosis.

Click the image to see the enlarged image.

  • There is no guidance by arrows.