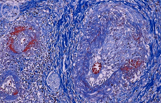
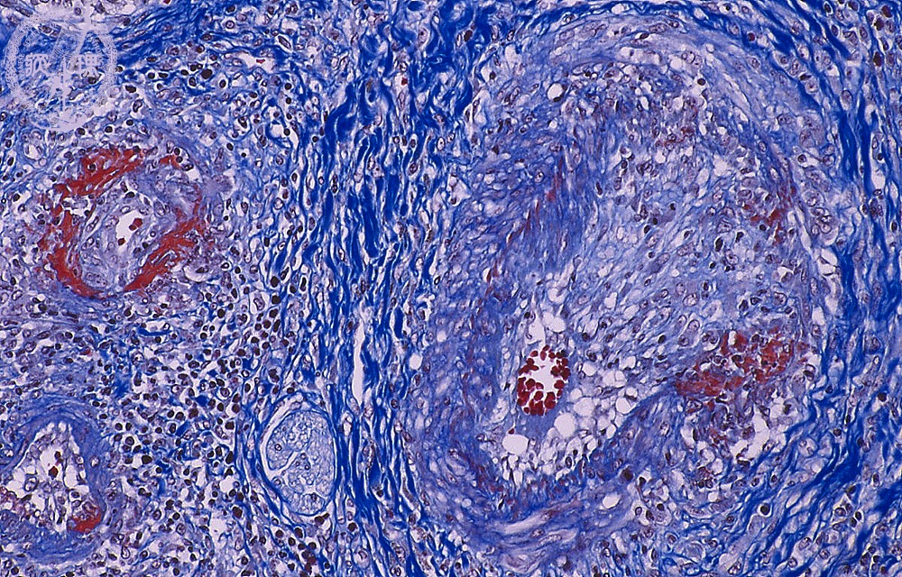
Microscopic image (Azan stain, high power view): Polyarteritis nodosa involving the liver. There is evidence of different phases of vasculitis.

Click the image to see the enlarged image.

  • There is no guidance by arrows.