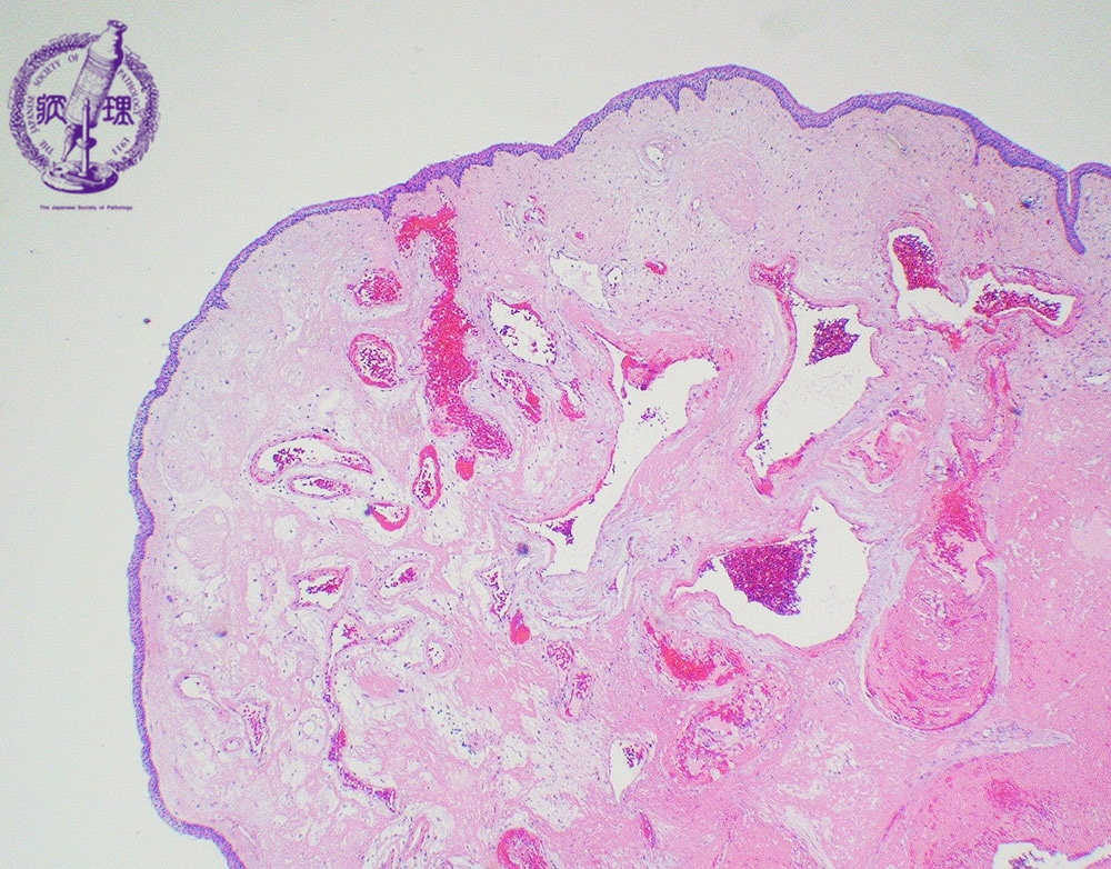
- 4.Upper airway tract and larynx
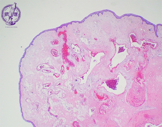
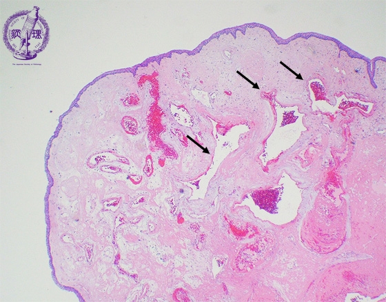
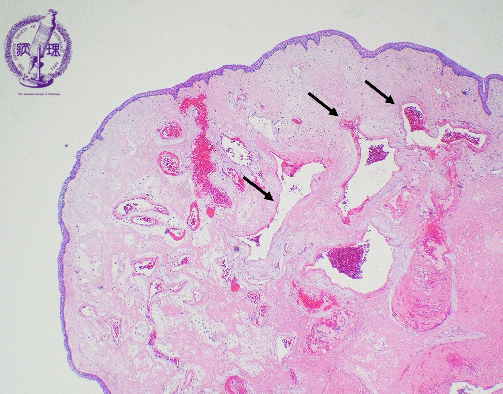
- (3)Laryngeal polyp (nodule)
Microscopic view (low power view): The course, nodular and proliferating fibrotic stroma contains many dilated capillaries (arrow) and is lined by stratified squamous epithelium.
Click the image to see the enlarged image.












