- 4.Upper airway tract and larynx
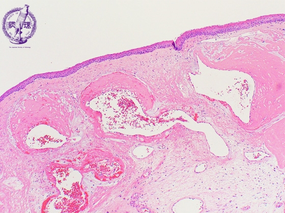
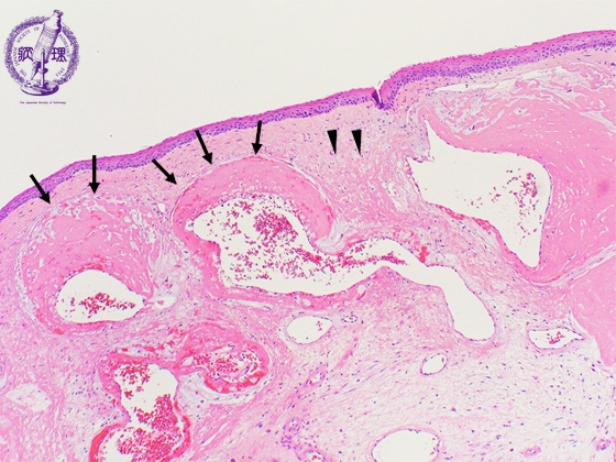
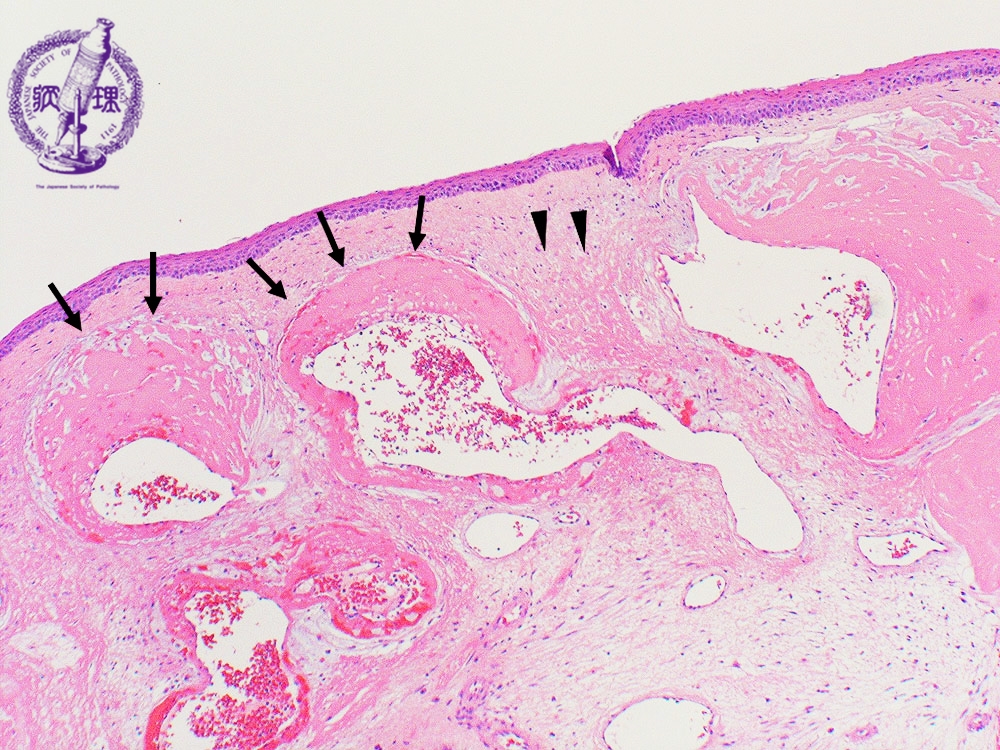
- (3)Laryngeal polyp (nodule)
Microscopic view (intermediate power view): Fibrin accumulates in the fibrotic stroma (arrow head) and forms thrombi within the dilated capillaries (arrow). These findings, which typically are not prominent in early lesions, suggest that this is not a fresh lesion.
Click the image to see the enlarged image.












