- 4.Upper airway tract and larynx
- ★(5)Squamous cell carcinoma (larynx)
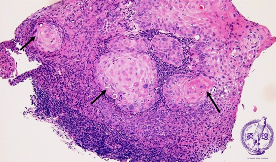
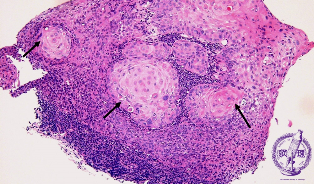
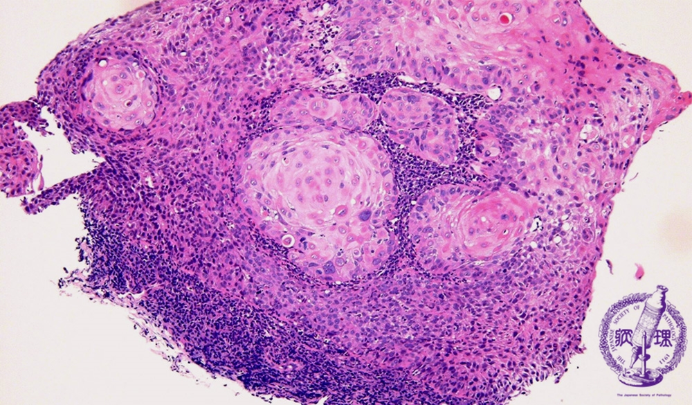
Microscopic view (intermediate power view): Carcinoma of the larynx exhibits squamous cell differentiation in more than 90% of cases and, when arising in the vocal cord specifically, it tends to be higher grade. In this case, there are many squamous pearls (arrow), indicating squamous differentiation.
Click the image to see the enlarged image.













