- 4.Upper airway tract and larynx
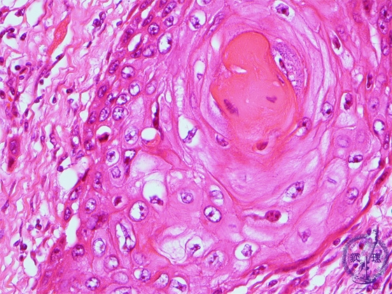
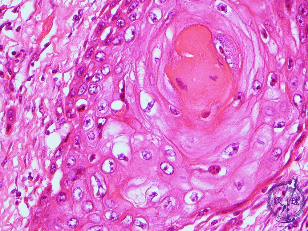
- š(5)Squamous cell carcinoma (larynx)
Microscopic view (high power view): Carcinoma cells have eosinophilic cytoplasm, compatible with keratinization. Structures with the appearance of a multi-layered onion like cross section are known as gkeratin pearlsh and are typical of keratinizing (squamous cell) carcinoma.
Click the image to see the enlarged image.










