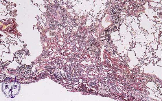
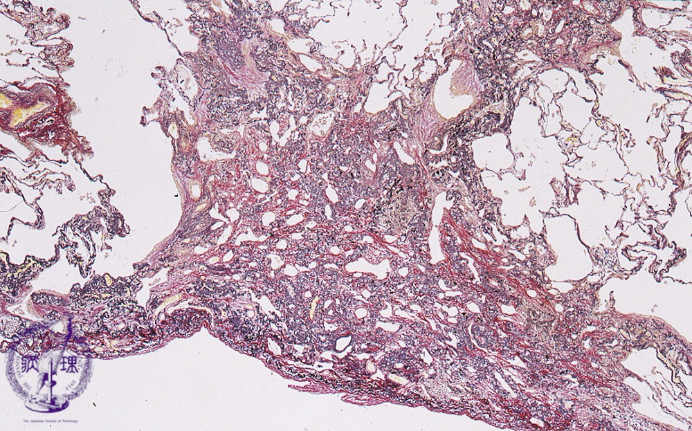
Microscopic view (HE stain, low power view): Long-standing collapse induces fibrosis (collapse fibrosis).

Click the image to see the enlarged image.

  • There is no guidance by arrows.