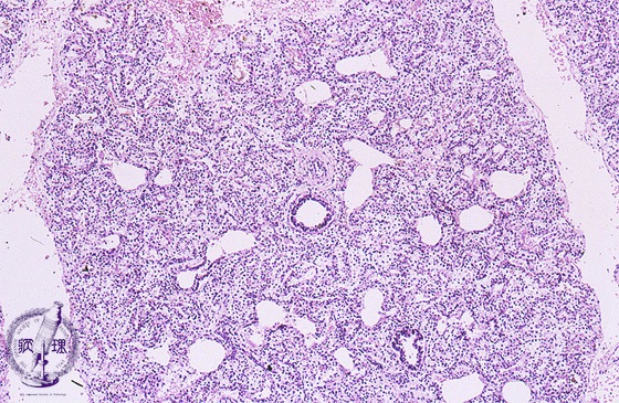
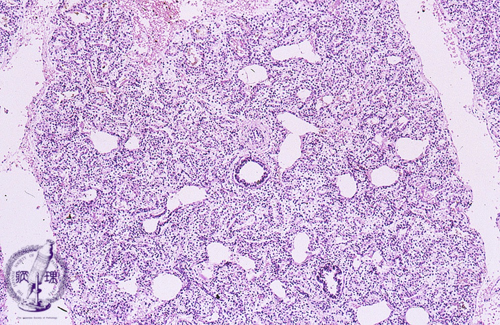
Microscopic view (HE stain, low power view): Appearance of atelectasis in a stillborn infantfs whose lungs never expanded.

Click the image to see the enlarged image.

  • There is no guidance by arrows.