- 5.Lung, Pleura
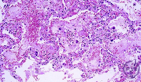
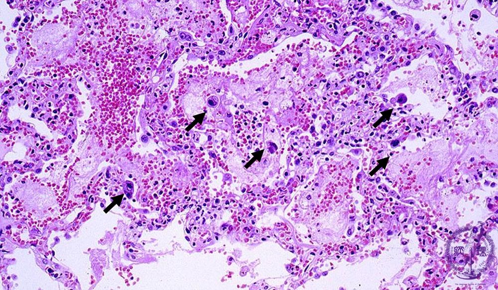
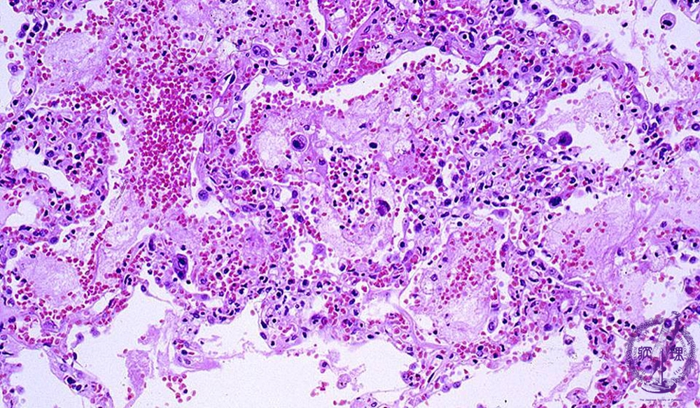
- ★(8)Viral pneumonia (cytomegalovirus inclusion body pneumonia)
Microscopic view (HE stain, low power view): The interstitial pneumonia pattern is shown. In this case, there are infiltrating neutrophils, necrosis, hemorrhage and scattered large cells with hyperchromatic nuclei (arrow).
Click the image to see the enlarged image.














