- 5.Lung, Pleura
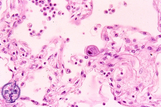
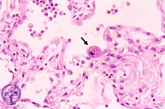
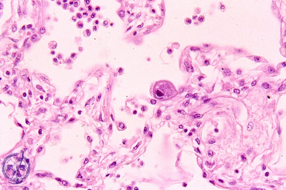
- ★(8)Viral pneumonia (cytomegalovirus inclusion body pneumonia)
Microscopic view (HE stain, Low-power- view): Within the enlarged nucleus of an alveolar epithelial cell, a large eosinophilic inclusion body (arrow) is seen.
Click the image to see the enlarged image.














