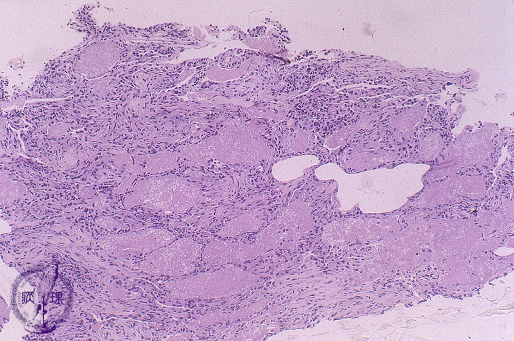
Microscopic view (HE stain, low power view): Histological section of TBLB (transbronchial lung biopsy). Within alveoli, eosinophilic and foamy exudates are seen.

Click the image to see the enlarged image.

  • There is no guidance by arrows.