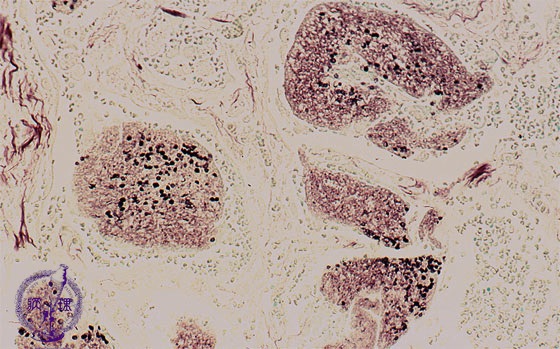
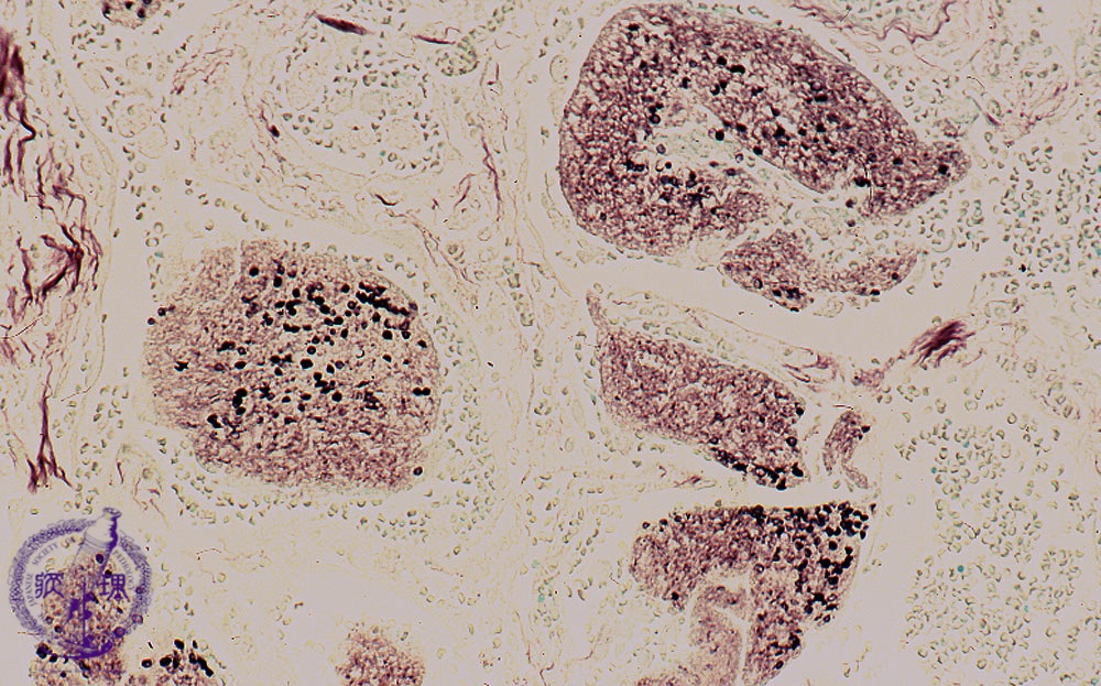
Microscopic view (Grocott stain, intermediate power view): On Grocott stain capsules of pneumocystis are round, cup or crescent shaped and 5 to 7um in diameter (smaller than an erythrocyte).

Click the image to see the enlarged image.

  • There is no guidance by arrows.