- 5.Lung, Pleura
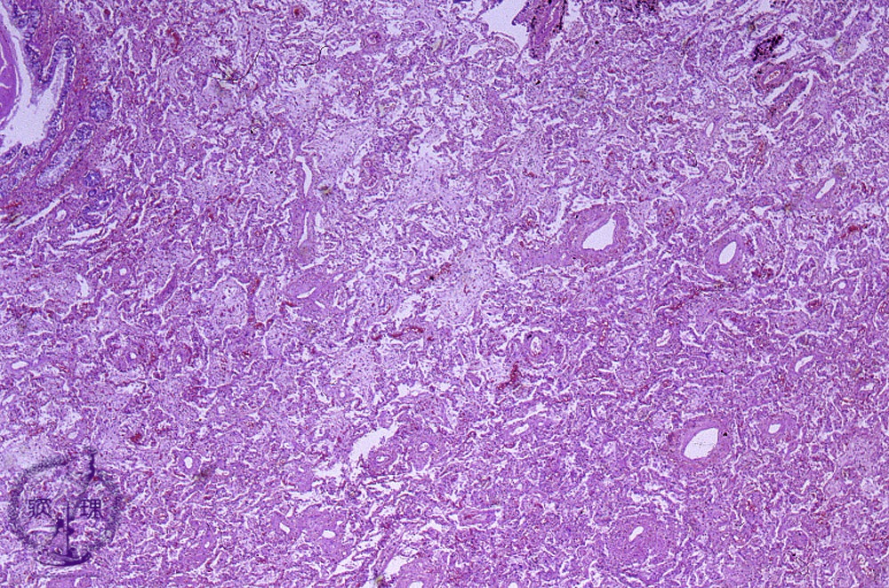
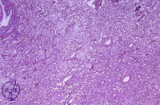
- (13)Organizing pneumonia
Microscopic view (HE stain, low power view): As bronchopneumonia resolves and heals, exudative materials are dissolved, removed or absorbed; however, the latter deposits may occasionally remain unresolved for poorly understood reasons. Consequently, phagocytic macrophages are prompted to marginate from interalveolar capillaries, immature fibroblasts proliferate and an alveolar membrane forms.
Click the image to see the enlarged image.









