- 5.Lung, Pleura
- (13)Organizing pneumonia
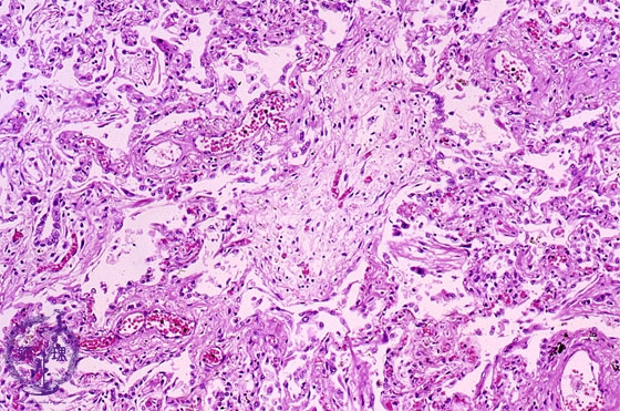
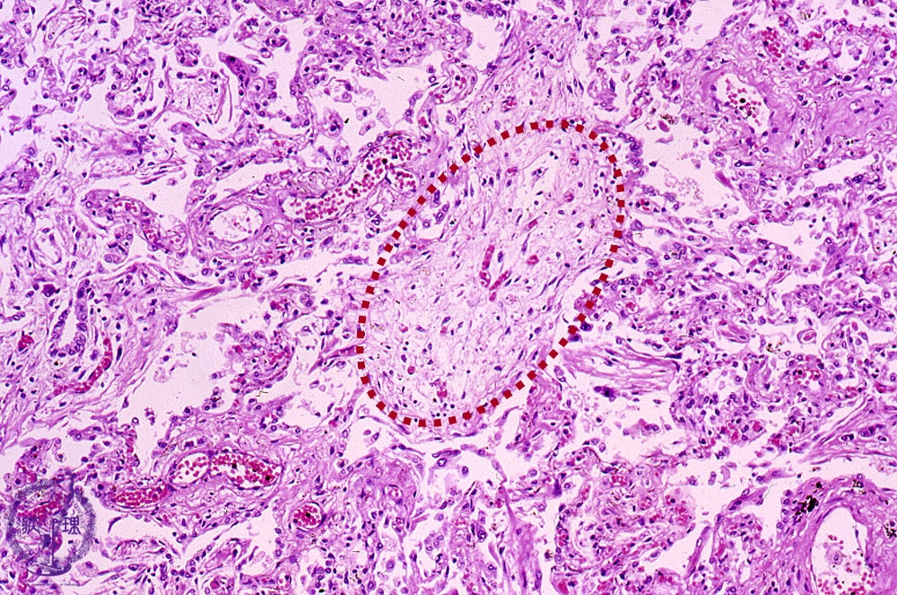
Microscopic view (HE stain, intermediate power view): Within the affected bronchiolar lumen, polypoid granulation tissue (Masson body, dotted line) is seen.
Click the image to see the enlarged image.
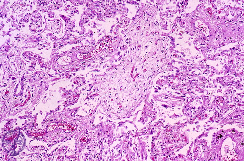
Microscopic view (HE stain, intermediate power view): Within the affected bronchiolar lumen, polypoid granulation tissue (Masson body, dotted line) is seen.
Click the image to see the enlarged image.