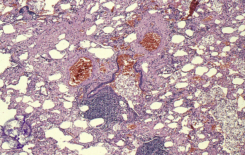
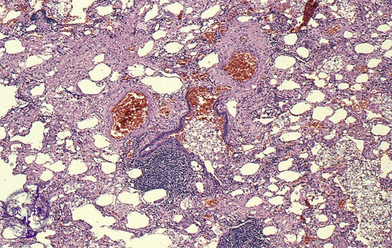
Microscopic view (HE stain, low power view): Aspirated lipoid material fills the alveoli accounting for the yellow color seen grossly and the name ggolden pneumonia.h

Click the image to see the enlarged image.

  • There is no guidance by arrows.