- 5.Lung, Pleura
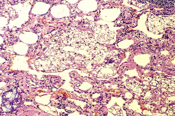
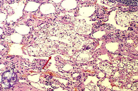
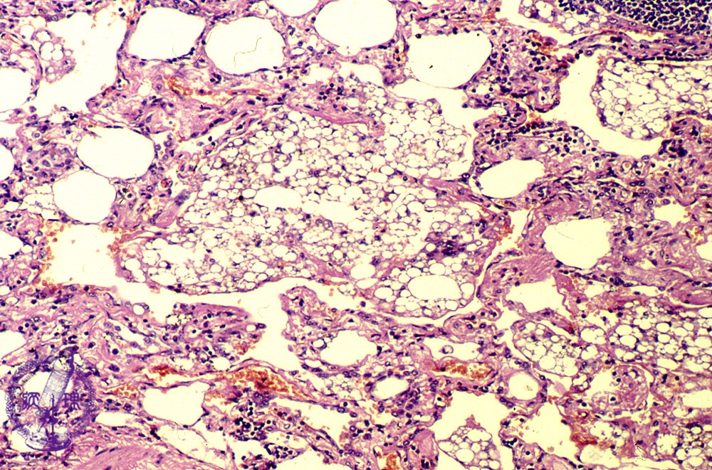
- (14)Lipoid pneumonia
Microscopic view (HE stain, Middle-power-view): Lipid and cholesterol crystal laden macrophages are seen within alveoli and alveolar septa accompanied by an inflammatory cell infiltrate.
Click the image to see the enlarged image.












