- 5.Lung, Pleura
- (15)Hamartoma
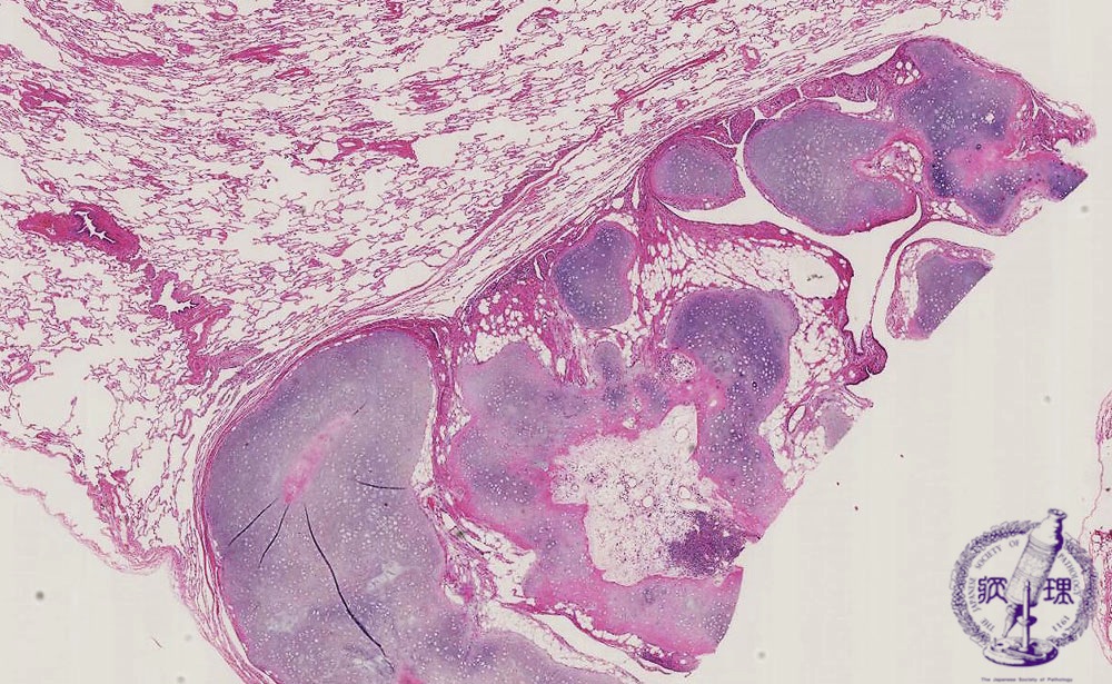
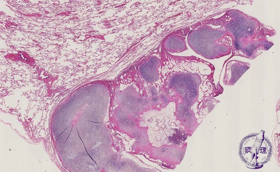
Microscopic view (HE stain, low power view): The tumor is well-demarcated and composed of cartilage, adipose tissue and bronchial epithelium, all of which are normal bronchus components; however, the elements lack any normal organization. Characteristically, the surrounding lung parenchyma shows no abnormal findings.
Click the image to see the enlarged image.










