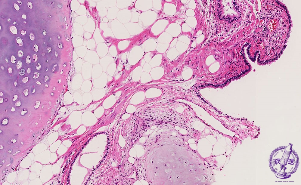
Microscopic view (HE stain, Middle-power-view): The cartilage, adipose tissue and bronchial epithelium show no evidence of cellular or structural abnormality. In addition, smooth muscle, collagenous tissue and or myxomatous elements may be intermingled.

Click the image to see the enlarged image.

  • There is no guidance by arrows.