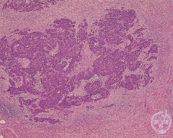
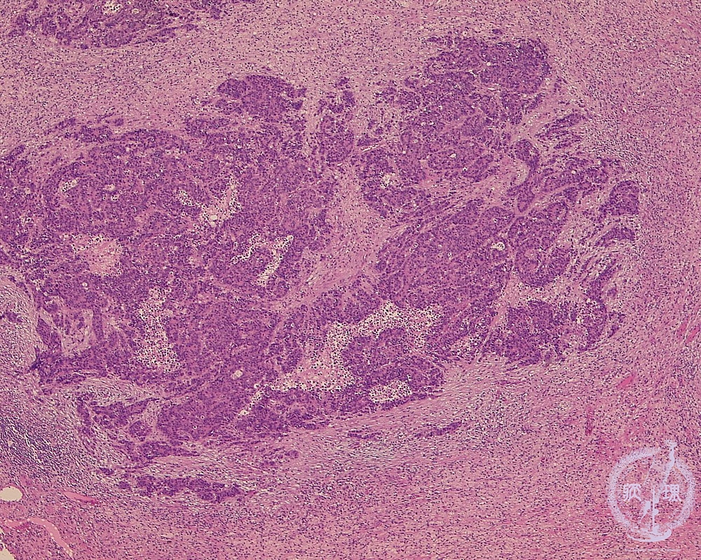
Microscopic view (HE stain, low power view): Small cell carcinoma of lung. The neoplastic cells are small with a high N/C ratio and they proliferate diffusely with no characteristic pattern.

Click the image to see the enlarged image.

  • There is no guidance by arrows.