- 5.Lung, Pleura
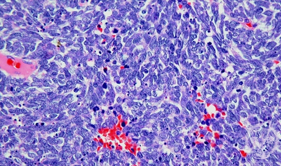
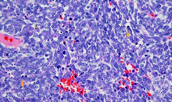
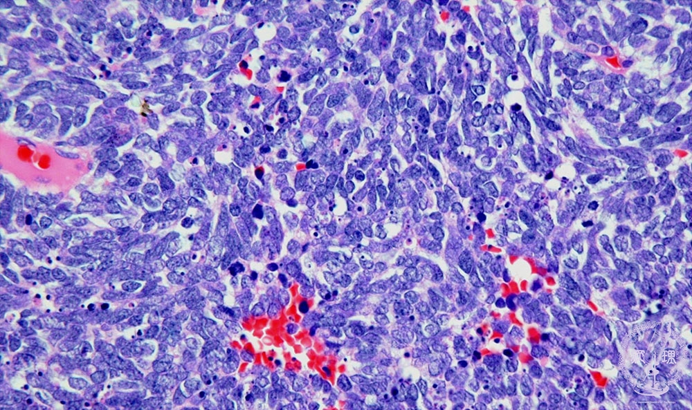
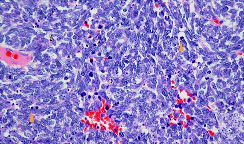
- ★(18)Small cell carcinoma
Microscopic view (HE stain, high power view): Small cell carcinoma of lung. Carcinoma cells have scant cytoplasm and a high N/C ratio. Many mitotic (arrow) and apoptotic (arrow head) figures are seen indicating high proliferative activity.
Click the image to see the enlarged image.













