- 5.Lung, Pleura
- ★(20)Metastatic lung tumor
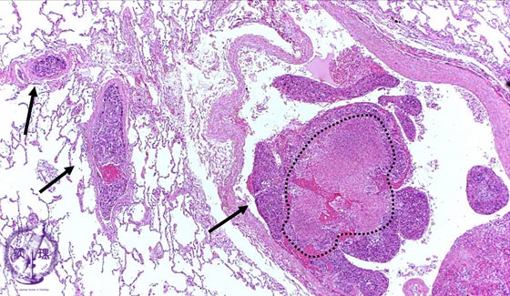
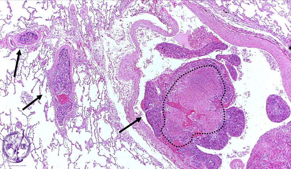
Microscopic view (HE stain, low power view): Large tumor emboli are seen within the pulmonary artery lumen (arrow). There is associated necrosis (dotted line).
Click the image to see the enlarged image.
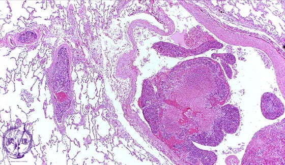
Microscopic view (HE stain, low power view): Large tumor emboli are seen within the pulmonary artery lumen (arrow). There is associated necrosis (dotted line).
Click the image to see the enlarged image.