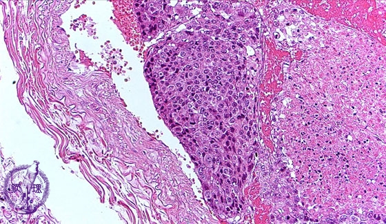
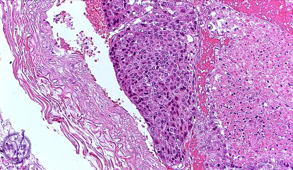
- 5.Lung, Pleura
- (20)Metastatic lung tumor
Microscopic view (HE stain, medium power view): Tumor embolus consists of poorly differentiated hepatocellular carcinoma with coagulative necrosis. On the right side of the tumor, necrosis is seen. In other areas, well differentiated hepatocellular carcinoma is seen.
Click the image to see the enlarged image.











