- 7.Oral, Salivary gland
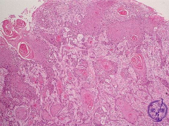
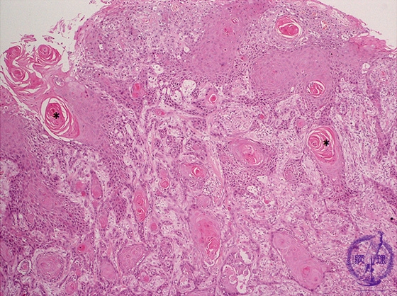
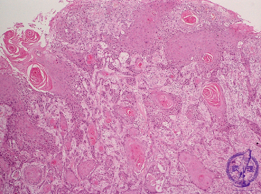
- ★(6)Oral cancer (Squamous cell carcinoma)
Microscopic finding (HE stain, low-power view): Squamous cell carcinoma nests infiltrate from the surface to the deep margin of the specimen. Tumor nests contain keratin pearls (*).
Click the image to see the enlarged image.













