- 7.Oral, Salivary gland
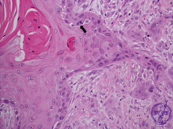
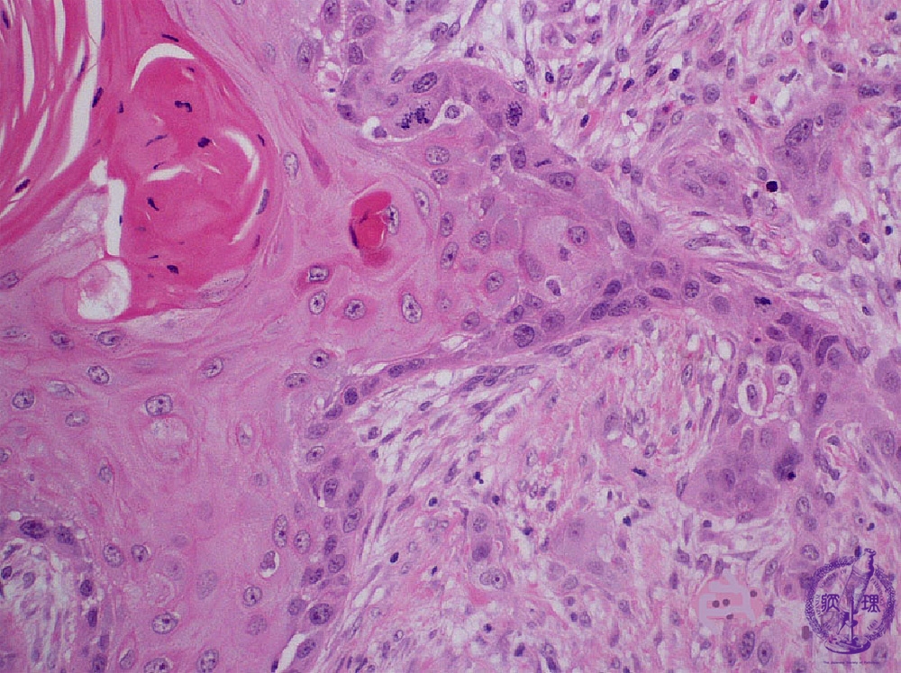
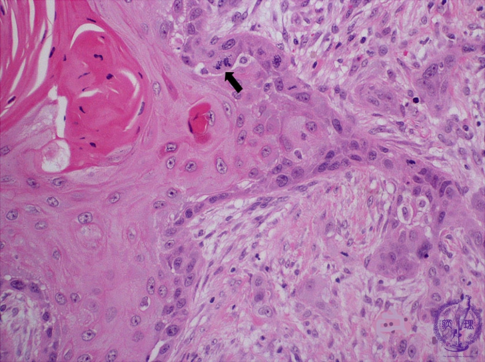
- ★(6)Oral cancer (Squamous cell carcinoma)
Microscopic finding (HE stain, high-power view):Despite exhibiting keratinization and recognizable stratified squamous cell epithelium architecture, there are characteristic features of cancer such as nuclear pleomorphism and atypical mitoses (arrow).
Click the image to see the enlarged image.













