- 8.Esophagus, Stomach
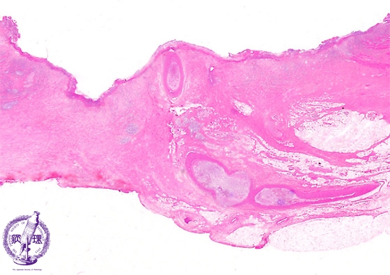
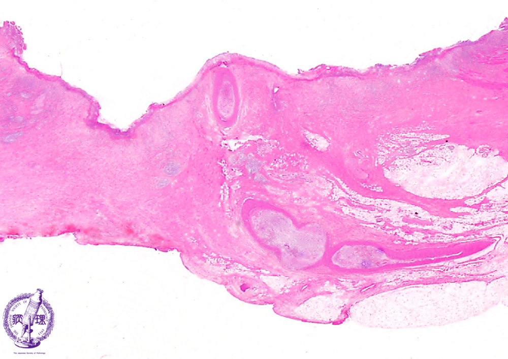
- ★(5)Peptic ulcer
Microscopic view (H&E stain, low power): The active ulcer penetrates into the serosa with serositis (dashed line). Within granulation tissue at the surface, an exposed artery (arrow) is observed.
Click the image to see the enlarged image.













