- 8.Esophagus, Stomach
- ★(5)Peptic ulcer
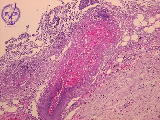
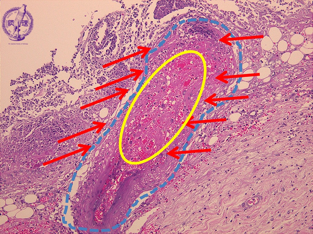
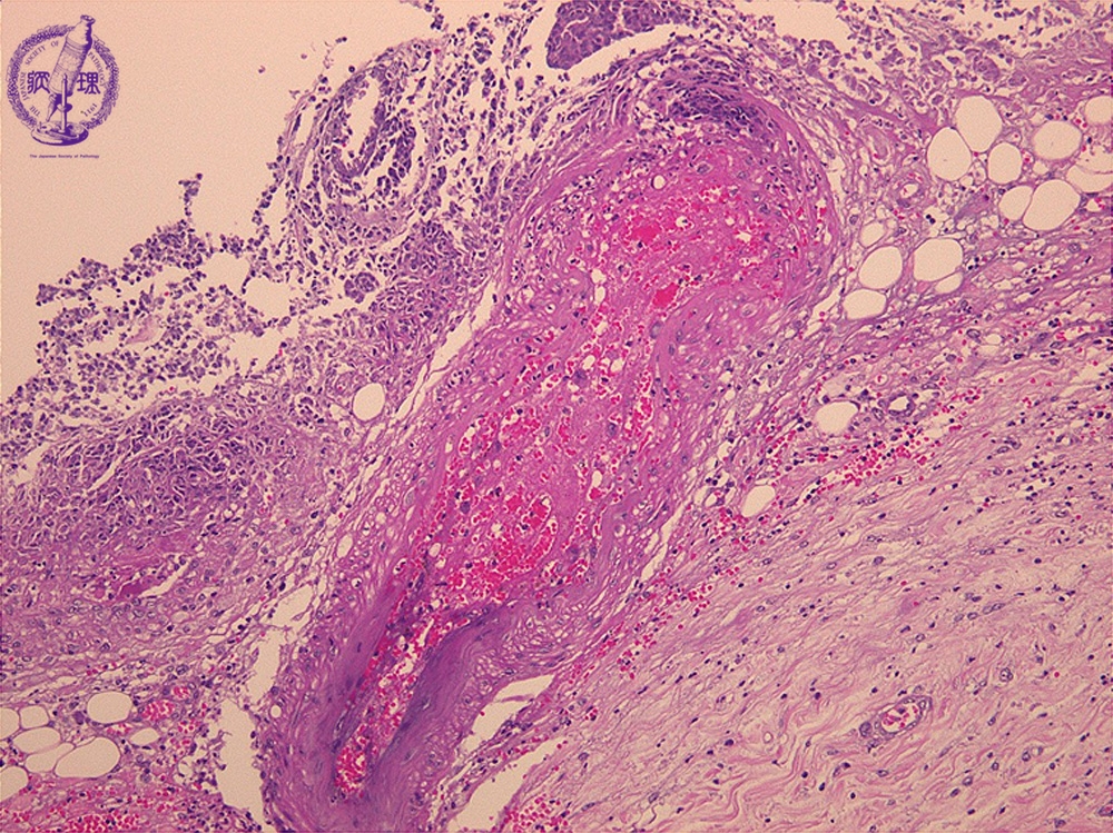
Microscopic view (H&E stain, high power): Blood vessels (blue) within the ulcer bed are necrotic (arrow) and contain post-hemorrhagic organizing thrombus (yellow).
Click the image to see the enlarged image.
Microscopic view (H&E stain, high power): Blood vessels (blue) within the ulcer bed are necrotic (arrow) and contain post-hemorrhagic organizing thrombus (yellow).
Click the image to see the enlarged image.