- 8.Esophagus, Stomach
- (7)Tubular adenoma of the stomach
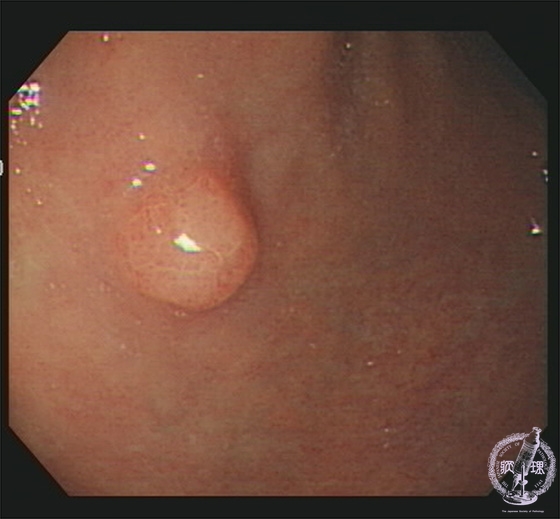
Gross appearance: Elevated lesion in the stomach. The mucosal composition is coarse in comparison to the surrounding mucosa.
Click the image to see the enlarged image.
Gross appearance: Elevated lesion in the stomach. The mucosal composition is coarse in comparison to the surrounding mucosa.
Click the image to see the enlarged image.