- 8.Esophagus, Stomach
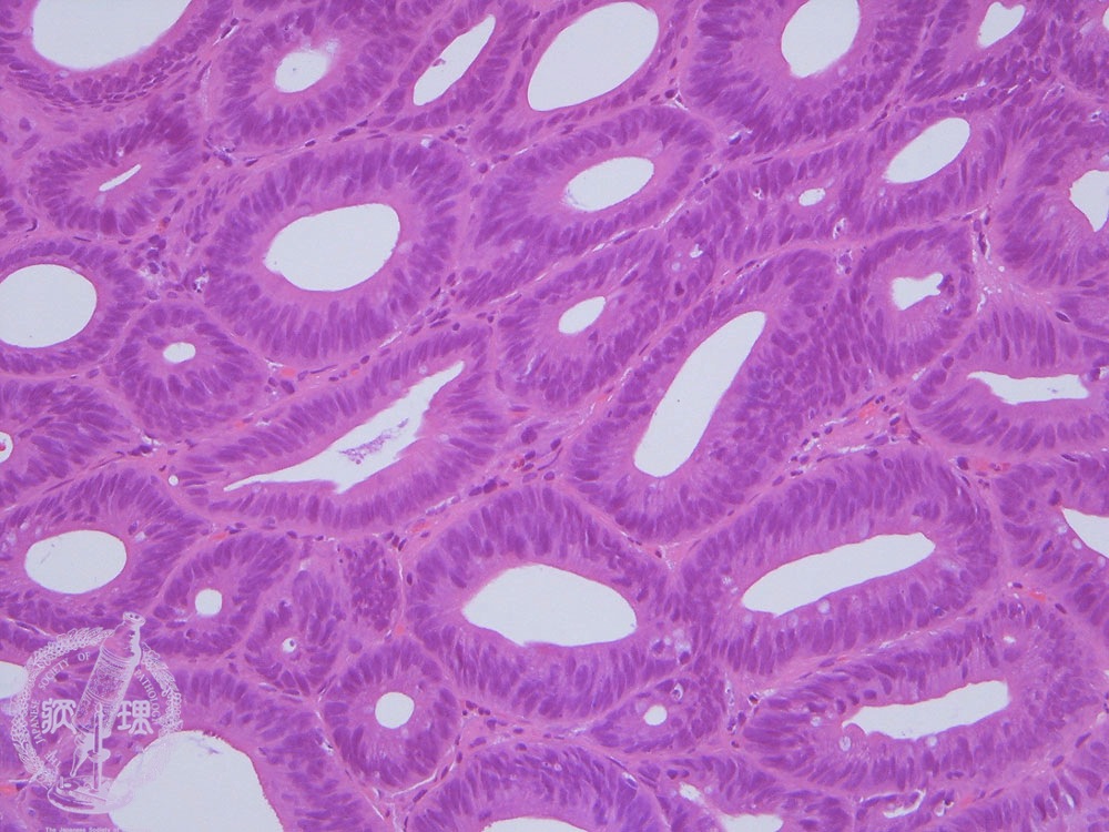
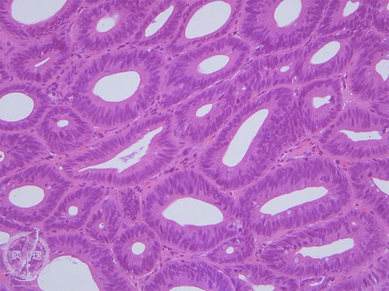
- (7)Tubular adenoma of the stomach
Microscopic view (H&E stain, medium power): The glandular epithelium shows changes similar to those in tubular adenoma.
Please compare to hyperplastic polyp.
Click the image to see the enlarged image.









