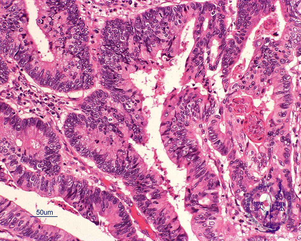
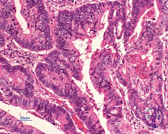
Microscopic view (H&E stain, high power): Well differentiated tubular adenocarcinoma with unambiguous tubule formation (tub1).

Click the image to see the enlarged image.

  • There is no guidance by arrows.