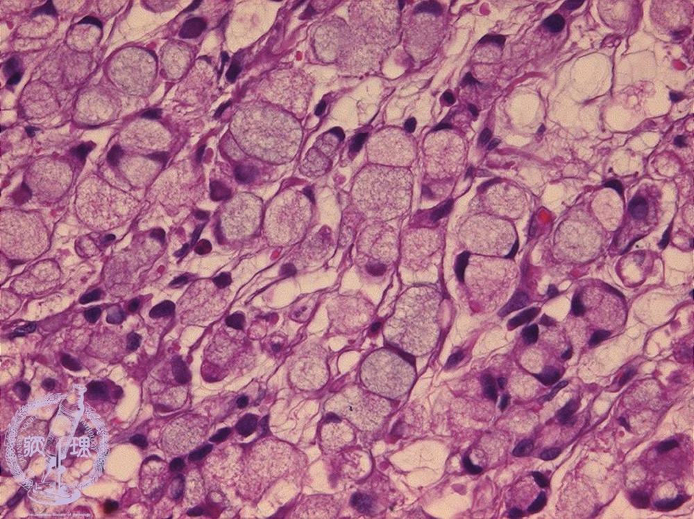
Microscopic appearance (H&E stain, high power): In signet-ring cell carcinoma the tumor cells demonstrate accumulation of cytoplasmic mucin.

Click the image to see the enlarged image.

  • There is no guidance by arrows.