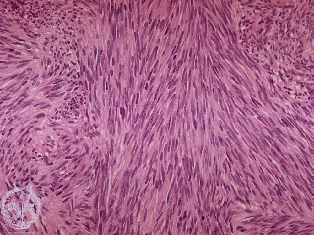
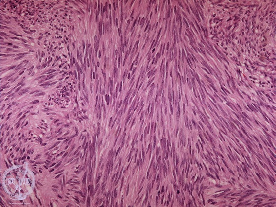
Microscopic view (H&E stain, high power): Fascicles composed of spindled cells are observed forming an intricate array.

Click the image to see the enlarged image.

  • There is no guidance by arrows.