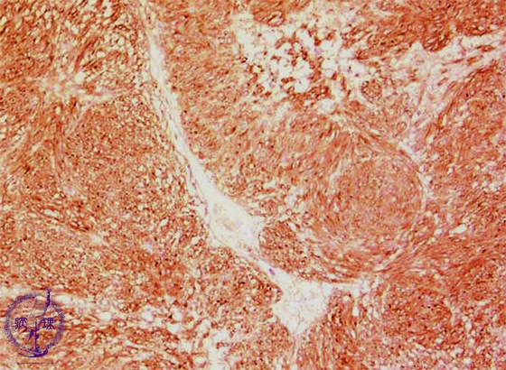
Microscopic view (c-KIT immunostain, medium power): About 90% of GIST tumors are positive for c-KIT.

Click the image to see the enlarged image.

  • There is no guidance by arrows.