- 9.Small intestine, Large intestine
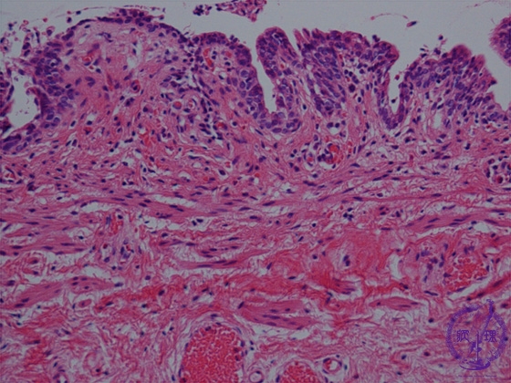
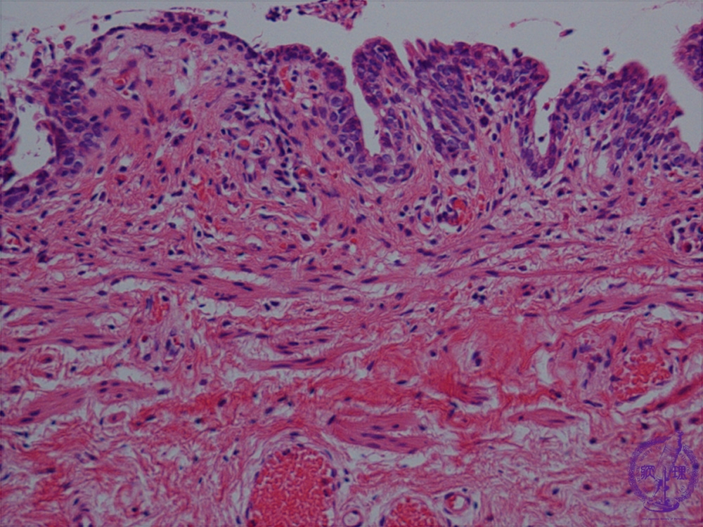
- (1)Hirschprung disease
Microscopic view: While nerve fibers are present (arrows), ganglion cells are not.
Click the image to see the enlarged image.
Microscopic view: While nerve fibers are present (arrows), ganglion cells are not.
Click the image to see the enlarged image.