- 9.Small intestine, Large intestine
- (1)Hirschprung disease
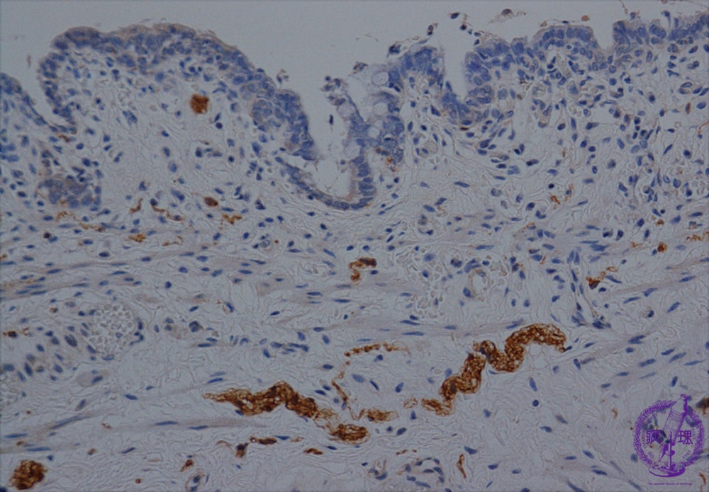
Microscopic view (Acetylcholinesterase stain): Acetylcholinesterase positive nerve fibers are observed in the submucosal layer.
Click the image to see the enlarged image.
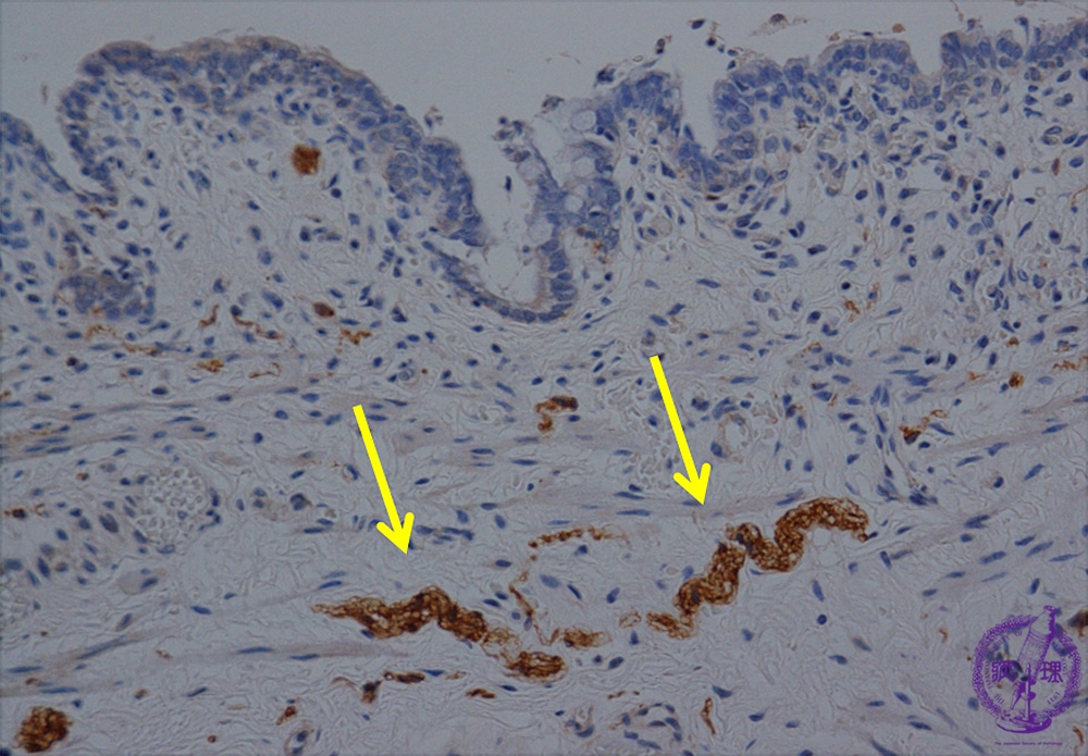
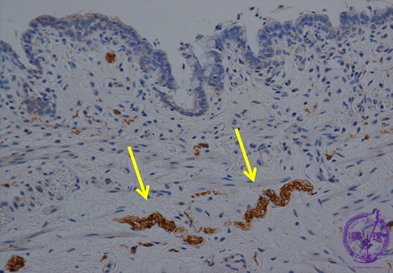
Microscopic view (Acetylcholinesterase stain): Acetylcholinesterase positive nerve fibers are observed in the submucosal layer.
Click the image to see the enlarged image.