- 9.Small intestine, Large intestine
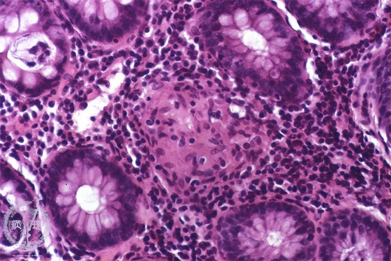
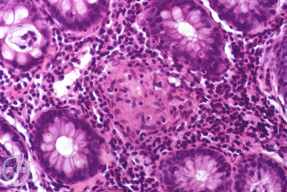
- ★(3)Crohn’s disease
Microscopic view (H&E stain, high power): Epithelioid granulomas are observed within the large bowel mucosa.
Click the image to see the enlarged image.
Microscopic view (H&E stain, high power): Epithelioid granulomas are observed within the large bowel mucosa.
Click the image to see the enlarged image.