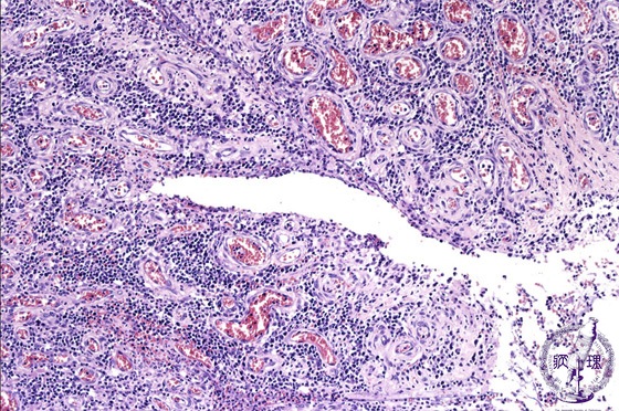
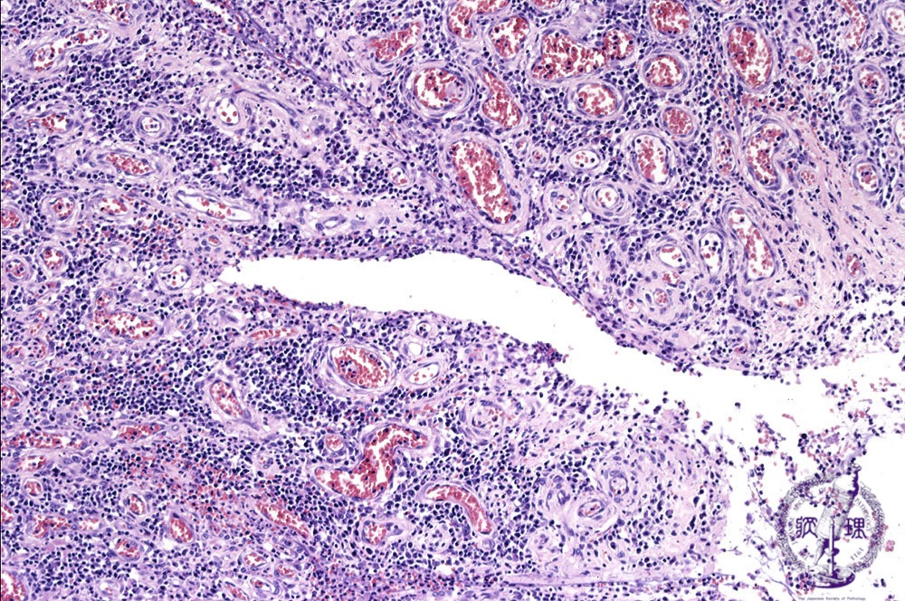
Microscopic view (H&E stain, medium power): Fissure formation is seen.

Click the image to see the enlarged image.

  • There is no guidance by arrows.