- 9.Small intestine, Large intestine
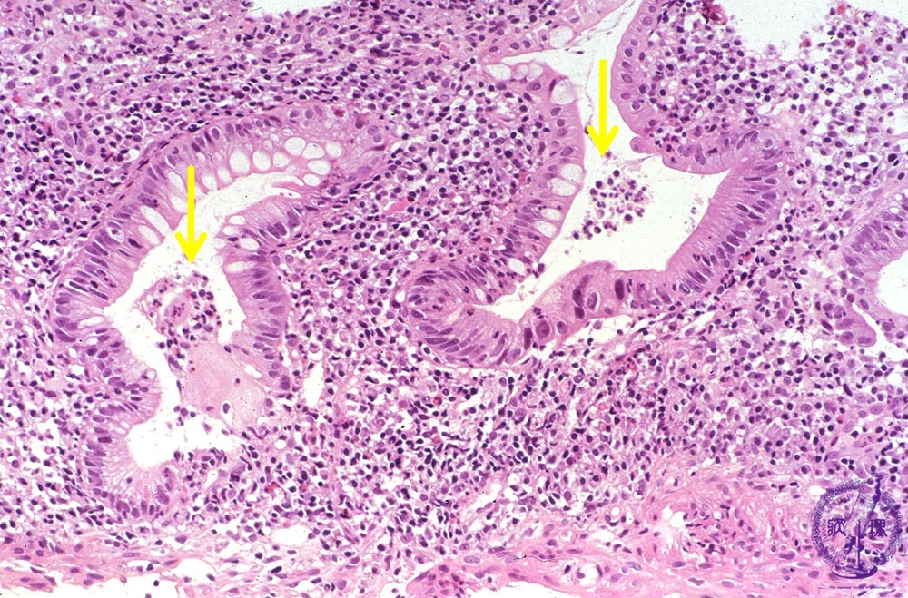
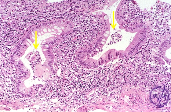
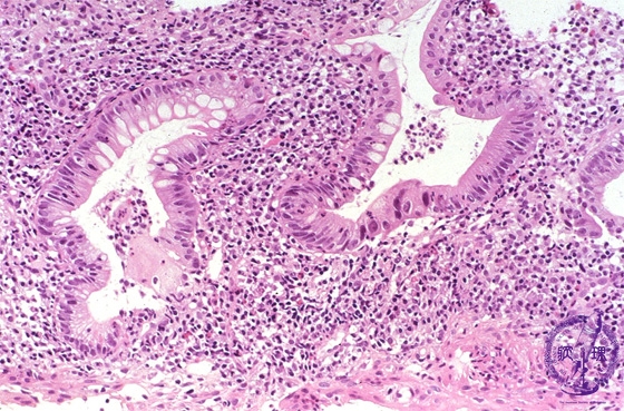
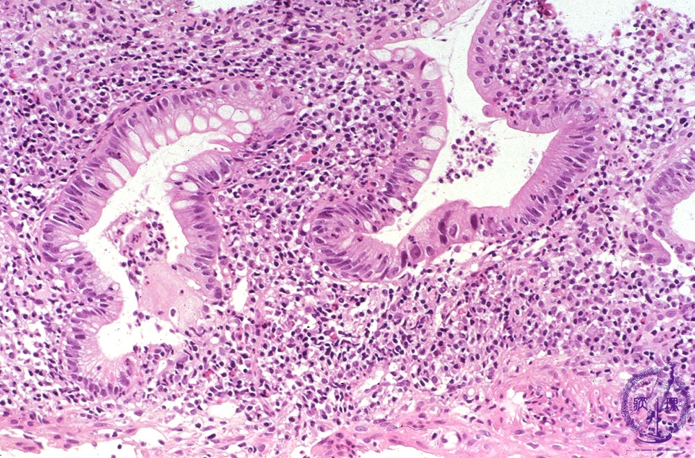
- ★(4)Ulcerative colitis
Microscopic view (H&E stain, high power): Acute ulcerative colitis with severe inflammation including crypt abscess formation.
Click the image to see the enlarged image.
Microscopic view (H&E stain, high power): Acute ulcerative colitis with severe inflammation including crypt abscess formation.
Click the image to see the enlarged image.